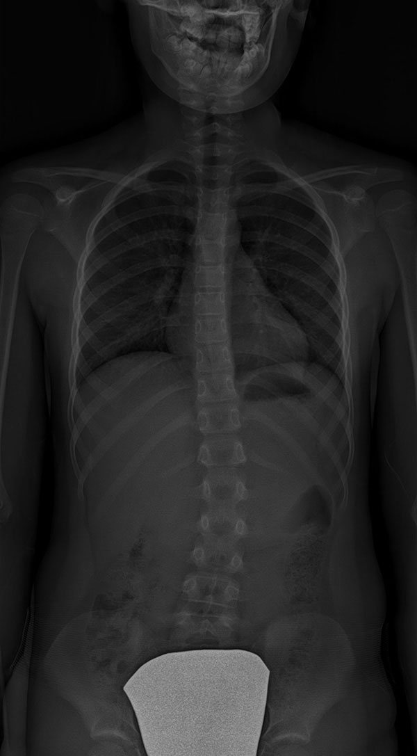
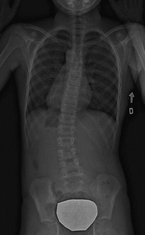
Qu'est-ce que la scoliose?
La scoliose est une déformation en 3D de la colonne vertébrale en torsion impliquant une courbure latérale de plus de 10° ainsi qu’une rotation anormale des vertèbres. Souvent décrite comme une déformation en « S », sa forme correspond plutôt, en réalité, à celle d’un escalier en colimaçon.
Scoliose thoracique (dorsale) – située dans la région de la colonne vertébrale où se trouvent les côtes.
![]() |
![]() |
Scoliose thoraco-lombaire (dorso-lombaire) – située dans la colonne vertébrale entre la région thoracique et le bas du dos.
|
![]() |
Scoliose lombaire – située au bas du dos
|
![]() |
Scoliose double – comporte deux courbes, l’une située au niveau thoracique et l’autre soit en thoraco-lombaire ou en lombaire
|
![]() |
* Les photos ci-haut sont tirées de Different scoliosis patterns radiological and clinical highresolution.jpg par Weiss HR, Goodall D [CC BY 2.0 (http://creativecommons.org/licenses/by/2.0)], via Wikimedia Commons
Les conséquences de la scoliose
Si la majorité des scolioses sont légères et ne nécessitent qu’un suivi de leur progression, dans les cas avancés, la scoliose n’est pas qu’une déformation en 3D de la colonne vertébrale, mais bien une pathologie affectant tout l’appareil locomoteur.
En effet, la scoliose qui devient plus importante entraîne une déstabilisation de toute la colonne vertébrale qui affecte alors la posture globale de la personne.
Cette désorganisation posturale provoque alors des dysfonctions neuro-musculo-squelettiques. Ces dernières, qui sont des conséquences directes ou indirectes de la scoliose, finissent par participer également à son évolution.
Exemples de dysfonctions neuro-musculo-squelettiques reliées à la scoliose :
- maux de dos, de cou
- douleur sciatique
- arthrose
- hernie discale
- syndrome de la queue de cheval (sténose spinale)
- incontinence
- migraine
- instabilité intervertébrale (spondylolisthésis, latérolisthésis, antérolisthésis, rétrolisthésis
- Subluxation vertébrale
- Subluxation rotatoire
- Radiculopathie
- Syndrome d’insuffisance thoracique (compression des viscères comme le cœur et les poumons)
Comme la scoliose pourra éventuellement occasionner différents maux de ce type, il est clair qu’un traitement préventif comme SpineCor®, visant les aspects neurologique, musculaire et squelettique de la maladie sera un plus pour le patient.
Il suffit de faire pencher en avant l’enfant pour remarquer cette proéminence dans son dos qui indique la présence d’une scoliose.







